Veneers: Case 2

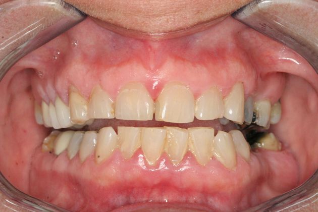
Veneers: Case 2 - Before
Before
Veneers: Case 2 - After
After
Veneers: Case 2 - Before
Before
Veneers: Case 2 - After
After

Description

She didn’t like that she showed a lot of gums, and had yellow teeth. Dr. Mark did crown lengthening with a laser. He provided crown and bridge work to fill in gaps, and cover the fronts of her teeth.

Please specify whether you prefer for our team to contact you via a phone call or text message.

Contact Us

Fields With Are Required
You can also call us at (847) 623-5530. This site is protected by reCAPTCHA and the Google Privacy Policy and Terms of Service apply.

Gurnee, IL, Chooses 
Delany Dental Care

“From initial arrival, throughout the visit, to the checkout process, all of the staff were friendly and professional. There is a genuine concern for making sure the patient understands the direct relationship between good dental care practices and overall physical health. The investment in the latest diagnostic and treatment technologies is evident, and patient comfort is a top priority. Delaney Dental Care is a great choice for dental services!” 



— Dan, 5-Star Review

Rate, Review & Explore

Social Accounts Sprite